Anévrismes cérébraux : l’IA en renfort du diagnostic

Compatibilità
Salva(0)
Condividi

Depuis plus de trente ans, à Nancy, médecins et informaticiennes et informaticiens associent leurs compétences pour améliorer la prise en charge des patientes et patients en développant les techniques d’imagerie médicale. Rencontre avec le professeur René Anxionnat, chef du service de neuroradiologie au CHRU de Nancy, et Erwan Kerrien, chargé de recherches au sein de l’équipe Inria Tangram, commune avec le CNRS et l’Université de Lorraine et rattachée au laboratoire Loria, autour du développement d’un outil de détection automatique des anévrismes cérébraux.

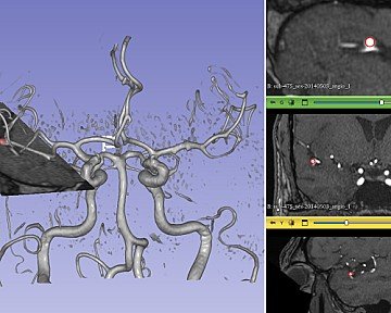
Anévrisme détecté automatiquement par notre algorithme dans un volume d'IRM angiographique. À gauche : vue 3D ; bandeau de droite: 3 coupes dans le volume IRM.

Quels sont les enjeux de la détection des anévrismes cérébraux ?

René Anxionnat : On estime que 3% de la population française est aujourd’hui concernée par les anévrismes, des sortes de hernies sur les vaisseaux intracrâniens, généralement au niveau de bifurcations, qui, en cas de rupture, provoquent une hémorragie dont les séquelles peuvent être très graves. Avant les années 1990, le seul traitement possible était chirurgical. Par la suite, un traitement endovasculaire, qui consiste à occlure l’anévrisme par l’intérieur à l’aide de "coils" a été mis au point, et reste le traitement de référence même si d’autres techniques ont été développées – stents ou flow diverter, par exemple. Il fait partie de la neuroradiologie interventionnelle, discipline médicale "mini-invasive" développée dans les années 1960 par des pionniers, dont le professeur Picard, fondateur du service de neuroradiologie du CHRU de Nancy. Elle est depuis en constante évolution sur les plans clinique, technique et scientifique. Tous les anévrismes découverts ne sont pas pour autant traités, car les indications sont basées sur un rapport bénéfice / risque. L’IRM a permis d’améliorer la détection des anévrismes non rompus et joue un rôle important dans la décision thérapeutique comme dans le suivi de ceux-ci.

Erwan Kerrien : Les traitements se font sous imagerie radiographique, ce qui réduit fortement le traumatisme opératoire. Mais ces images sont 2D, alors que la structure vasculaire dans laquelle opère le neuroradiologue interventionnel est extrêmement complexe et 3D. Aujourd’hui des imageries 3D existent, comme le scanner ou l’IRM, mais il y a énormément de travail à faire pour interpréter ces images et les relier à celles acquises pendant l’intervention. D’où l’importance d’une collaboration avec des spécialistes du traitement de l’image, comme l’équipe Tangram qui travaille sur l’analyse d’images et la modélisation géométrique et physique réaliste.

L’intérêt est de disposer d’un outil simple qui puisse effectuer une détection automatique et fiable

Comment l’IA peut-elle contribuer à détecter des anévrismes ?

Erwan Kerrien : Le défi tient au fait que les anévrismes sont de très petites structures, en moyenne de 5 à 8 mm de diamètre, de localisation variable. Pour les détecter, il faut non seulement disposer d’images de qualité suffisante mais également être capable d’interpréter celles-ci, ce qui dépend du niveau d’expertise de la ou du radiologue, des moyens d’analyse dont il dispose ou encore de son état de fatigue. L’idée était donc d’élaborer un outil qui utilise les techniques d’intelligence artificielle pour accompagner la praticienne ou le praticien dans son diagnostic en détectant automatiquement les anévrismes. L’algorithme lui-même repose sur une architecture de réseau de neurones profonds développée par Youssef Assis, un doctorant que nous encadrons depuis 2020 et qui a soutenu, cette année, sa thèse cofinancée par le CHRU de Nancy et la région Grand Est, dans le cadre du plan de financement doctoral de l’ANR. Il s’agit ensuite de valider l’efficacité de l’outil informatique. C’est ce que fait Liang Liao, un second doctorant, également praticien hospitalier, qui a intégré le projet en 2021. Le but est d’évaluer les performances des expertes et experts par rapport à celles des non-expertes et non-experts, et de déterminer comment l’IA, à travers l’algorithme développé, peut améliorer ces dernières. Selon nos premiers résultats, un non-expert présente un taux de sensibilité moyen de 75%, c’est-à-dire qu’il détecte 3 anévrismes sur 4, tandis que celui d’un expert est de 84% à 90% selon qu’il réalise une analyse rapide ou poussée. Avec la détection automatique, le taux de base est de 86%. Dans tous les cas, l’IA permet donc de renforcer les performances en matière de détection.

René Anxionnat : L’intérêt pour les médecins est de disposer d’un outil simple qui puisse effectuer une détection automatique et fiable, et les aider à détecter ces anévrismes quelle que soit leur taille. En revanche, l’IA ne remplace pas la relation médecin-patient, ni la décision thérapeutique qui reste médicale.

Les avancées techniques réalisées serviront, de manière générale, pour tout ce qui concerne l’imagerie médicale.

Quelles sont les perspectives de développement ?

René Anxionnat : Le but est d’envisager des applications pratiques qui permettront d’améliorer la prise en charge des patients. Nous pourrions imaginer des outils intégrés à l’IRM pour la détection automatique des anévrismes et pour l’aide à la décision thérapeutique basée sur des éléments morphologiques, comme la taille ou la forme. Au-delà de la faisabilité technique, il faut également que les médecins soient convaincus de l’utilité de tels outils. Au début de l’angiographie 3D, certains n’y voyaient qu’une technique utile dans des cas très sélectionnés, alors qu’aujourd’hui elle est utilisée de façon systématique pour le traitement de tous les anévrismes cérébraux.

Erwan Kerrien : Les modèles que nous avons développés, et qui sont en accès libre sur Internet, restent à valider cliniquement. L’apprentissage du programme se fait sur une base de 270 volontaires, ce qui est insuffisant pour assurer la certification de nos résultats. Il faut que nous puissions améliorer les performances de l’outil en l’entrainant sur des bases de données beaucoup plus larges. Le CHRU de Nancy participe à l’établissement d’un registre national piloté par la Société française de neuroradiologie (SFNR) dont l’objectif est de réunir 5 000 données de patientes et patients annotées de manière experte. Les avancées techniques réalisées dans le cadre de la détection automatique des anévrismes serviront, de manière générale, pour tout ce qui concerne l’imagerie médicale et, en termes d’intervention, permettront d’étendre les applications de ces techniques minimalement invasives à d’autres pathologies.

Comment s’est construite votre collaboration ?

Erwan Kerrien : En 1996, j’ai rejoint le service de neuroradiologie interventionnelle dans le cadre de la thèse Cifre que je préparais chez General Electric, spécialiste de l’imagerie médicale, en collaboration avec Inria. J’ai passé beaucoup de temps dans le service, aux côtés de René Anxionnat, pour comprendre les conditions de travail des personnes qui s’y trouvaient et les problématiques auxquelles elles étaient confrontées. Par ma formation d’ingénieur, je travaille avec les mathématiques et l’informatique, et les idées que je peux avoir, aussi intéressantes soient-elles d’un point de vue théorique, ne sont pas forcément utiles pour un médecin. La première approche a donc consisté à être présent en salle d’intervention, échanger avec les médecins et observer les cas afin d’identifier les besoins. Le sujet des anévrismes est arrivé en 2019, lorsque le développement du deep learning a permis de traiter des volumes de données plus importants.

René Anxionnat : De mon côté, j’ai suivi un parcours similaire lorsque j’ai préparé ma thèse d’informatique au sein du Loria. Ces démarches permettent d’apprendre à se connaitre, à comprendre ce que chacun peut apporter à l’autre et, progressivement, ce sur quoi il est possible de travailler concrètement. Nous arrivons chacun avec nos attentes et nos besoins et nous avançons ensemble en faisant en sorte qu’ils s’alimentent et se complètent. Une collaboration de 30 ans ne peut se construire que sur la confiance. Ce n’est pas quelque chose qui se décrète mais se construit, pas à pas.

Erwan Kerrien : De la confiance mais également de l’humilité. Il faut être capable de dépasser ses certitudes et ses a priori. C’est une expérience très enrichissante aussi bien au niveau scientifique qu’humain.

Leurs parcours


Diplômé de Télécom Paris, Erwan Kerrien soutient sa thèse de doctorat en informatique en 2000 à l’Institut Polytechnique de Lorraine – en partenariat avec GE Medical Systems (aujourd’hui GE Healthcare), Inria et le département de neuroradiologie interventionnelle du CHRU de Nancy – avant d’intégrer Inria l’année suivante en tant que chargé de recherches, affecté au laboratoire Loria. Il est aujourd’hui membre de l’équipe Inria Tangram.

Après sa thèse de médecine soutenue en 1989, René Anxionnat intègre le service de neuroradiologie clinique du CHRU de Nancy. En 2003, il soutient une thèse de doctorat en informatique consacrée aux méthodes et outils pour le détourage des malformations artério-veineuses cérébrales dans un contexte multimodalité. Il est aujourd’hui professeur des universités et praticien hospitalier en neuroradiologie diagnostique et interventionnelle à l'Université de Lorraine, et responsable du service de neuroradiologie interventionnelle du CHRU de Nancy.

Recapiti
Inria